Pernah merasa kehilangan percaya diri karena kondisi gigi? Pasien A juga pernah. Tapi kini, senyumnya kembali bersinar dengan perawatan veneer gigi bersama drg. Ivy Vania Ariany di Neo Art Dental!
Pasien A adalah seorang dewasa muda yang pernah menjalani perawatan behel untuk merapikan giginya. Namun, saat behel dilepas, salah satu giginya justru mengalami patah yang cukup mengganggu penampilan. Hal ini membuat A menjadi ragu untuk tersenyum lepas di depan orang banyak.

Solusi dari drg. Ivy: Perawatan Veneer Gigi Estetik
Di balik gigi yang patah, ada solusi terbaik untuk tampil percaya diri kembali.
drg. Ivy Vania Ariany, salah satu dokter gigi andalan untuk estetik di Neo Art Dental, menyarankan perawatan veneers untuk memperbaiki bentuk dan warna gigi yang rusak. Veneer bukan hanya soal keindahan, tapi juga kenyamanan dan kekuatan gigi dalam jangka panjang.
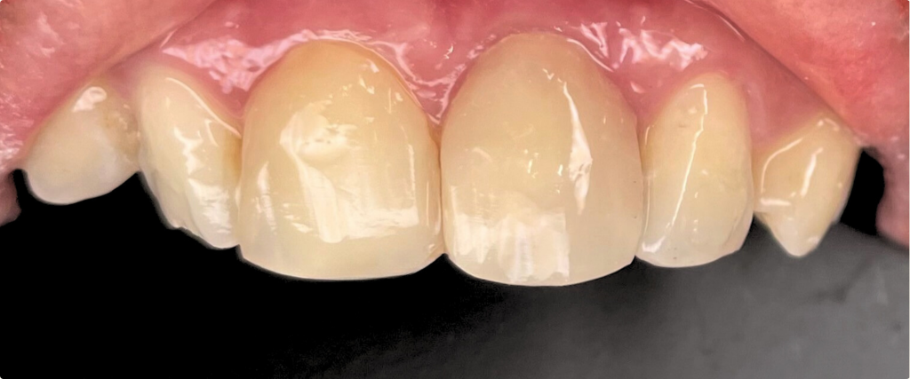
Setelah menjalani prosedur veneer, hasilnya pun terlihat luar biasa natural dan menyatu dengan gigi lainnya. Pasien A pun kembali tersenyum dengan penuh percaya diri — bahkan lebih percaya diri dibanding sebelumnya!

Proses veneer gigi oleh drg. Ivy Vania Ariany bisa dilihat disini ya!
Kenapa Harus Veneer di Neo Art Dental?
- Dikerjakan oleh dokter gigi berpengalaman & profesional
- Hasil estetik yang natural dan presisi
- Proses nyaman & minim rasa sakit
- Klinik berdesain ala Jepang yang bikin kamu rileks
- Konsultasi menyeluruh untuk solusi terbaik senyum kamu
✨ Ingin transformasi senyum seperti pasien A? Yuk konsultasi sekarang juga dan wujudkan senyum impianmu bersama drg. Ivy dan tim Neo Art Dental!
📍 Neo Art Dental Center
Ruko Pasar Modern Timur 2 Blok AA/18 BSD, Tangerang
📞 0812-2300-0068
✉️ hello@neoartdental.com
🌐 www.neoartdental.com
Baca juga
Transformasi Senyum Sidney: Pengalaman Memakai Invisalign di Klinik Gigi Neo Art Dental
Klinik Gigi Neo Art Dental: Rekanan Asuransi Perawatan Gigi
Berbagai Jenis Behel yang Perlu Kamu Ketahui

