
Bagi Anda yang memiliki masalah gigi berantakan, gigi maju, atau gigi berjarak, pemasangan behel gigi adalah solusi yang tepat. Menurut ortodontis klinik gigi Neo, drg. R. Ratih, Sp. Ort, Selain memperbaiki struktur gigi, behel juga menjadi pilihan banyak orang karena fungsinya yang estetis. Di Neo Art Dental Center, kami menyediakan berbagai jenis behel atau kawat gigi yang sesuai dengan kondisi dan kebutuhan.
Apa Itu Behel tau Kawat Gigi?
Behel gigi, atau dikenal juga sebagai kawat gigi, adalah alat ortodonti yang dirancang untuk memperbaiki struktur gigi yang tidak rata. Dengan menggunakan kawat, gigi secara bertahap akan bergerak ke posisi yang lebih ideal. Tidak hanya bermanfaat untuk kesehatan, berbagai jenis behel atau kawat gigi juga menjadi tren karena memberikan tampilan yang menarik dan meningkatkan rasa percaya diri.
Jenis-Jenis Behel atau Kawat Gigi yang Perlu Diketahui
- Behel Gigi Metal (Traditional Braces)
Behel ini adalah jenis yang paling umum digunakan, terbuat dari bahan logam anti karat. Selain harganya yang relatif terjangkau, pilihan warna karet yang bisa diganti sesuai selera membuatnya populer di kalangan anak muda.
- Behel Gigi Keramik (Ceramic Braces)
Bagi Anda yang menginginkan tampilan lebih estetik, behel gigi keramik menjadi pilihan. Bracket-nya yang menyerupai warna gigi membuat behel ini lebih stylish dan hampir tidak terlihat.
- Behel Gigi Lingual
Berbeda dari behel biasa, behel lingual dipasang di bagian belakang gigi, membuatnya tidak terlihat dari depan. Jenis ini cocok bagi mereka yang ingin memperbaiki gigi tanpa khawatir penampilan.
- Behel Gigi Damon (Self-Ligating Braces)
Behel Damon dilengkapi dengan klip khusus yang mengunci posisi bracket. Jenis ini lebih nyaman dan tidak memerlukan kontrol rutin sesering behel metal.
Jenis-Jenis Behel atau Kawat Gigi yang Perlu Diketahui
- Clear Aligner
Clear aligner adalah alternatif behel yang tidak menggunakan kawat. Alat transparan ini dapat dilepas-pasang sesuai kebutuhan, dan cocok untuk mereka yang menginginkan fleksibilitas. Jenis clear aligner juga populer karena tidak terlihat saat dipakai dan memberikan kenyamanan lebih, namun memerlukan biaya yang lebih tinggi dan perawatan rutin.
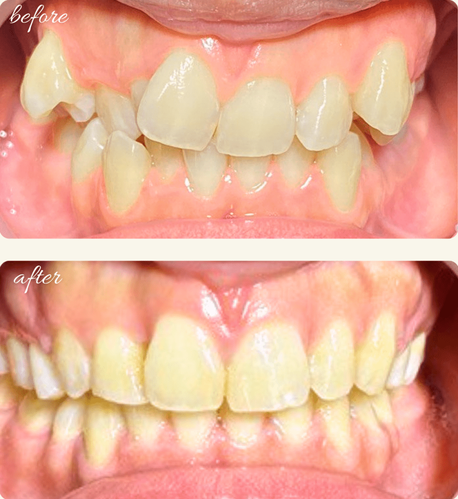
Berikut adalah Behel atau Kawat Gigi Konvensional Beserta Foto Before dan After Pemasangan Behel Klinik Gigi Neo
– before : Terlihat gigi berantakan
– after : Gigi menjadi lebih rapih setelah pemasangan behel self-konvensional

Mengapa Harus Memasang Behel atau Kawat Gigi?
Menurut drg. R. Ratih, Sp. Ort, Struktur gigi yang rapi tidak hanya soal estetika, tetapi juga membantu fungsi gigi dalam mengunyah makanan dan mempengaruhi kemampuan bicara. Memiliki susunan gigi yang ideal dapat meningkatkan kualitas hidup dan kesehatan mulut Anda. Di Neo Art Dental Center, pemasangan behel dilakukan oleh dokter gigi dan ortodontis berpengalaman yang siap membantu Anda mendapatkan senyum terbaik.
Mau dapatkan gigi rapih mu? Hubungi klinik gigi Neo Art Dental Center
telp : 0812 2300 0068
alamat: Ruko Pasar Modern Timur 2 Blok AA/18 BSD Tangerang Selatan
Cek juga sosial media klinik gigi Neo Art Dental Center di instagram dan tiktok
Promo disk up to 50% perawatan gigi lainnya bisa dicek di sosial media Neo Art Dental Center
Lihat juga artikel lainnya tentang kawat gigi
Kapan Anak Boleh Menggunakan Behel Kawat Gigi?
Behel Self-Ligating: Kelebihan dan Tahap Pemasangan
Behel Gigi: Manfaat, Jenis, Prosedur Pemasangan

