Selamat Datang Di Neo Art Dental Center
Klinik Gigi Dengan Teknologi Canggih, Kenyamanan Maksimal, Kunjungan Spesial
Di Neo Art Dental Center, setiap kunjungan akan disesuaikan secara pribadi untuk Anda, menciptakan senyum baru, pengalaman baru, dan Anda yang lebih baik.
Ulasan bintang 5 dari pelanggan kami yang puas
Tentang Neo Art Dental Center
Klinik Gigi Dengan Dokter Gigi Umum Dan Dokter Gigi Spesialis Terbaik
Selamat datang di Neo Art Dental Center, klinik gigi yang mengutamakan kenyamanan, kualitas tinggi, dan solusi terjangkau. Klinik gigi kami berlokasi di BSD Tangerang Selatan. Kami adalah tim profesional yang berdedikasi untuk memberikan perawatan gigi yang terbaik bagi Anda dan keluarga. Dengan teknologi terkini dan pendekatan personal, setiap kunjungan Anda akan menjadi pengalaman yang menyenangkan dan memuaskan. Kami berkomitmen untuk membantu Anda mencapai senyuman baru yang penuh percaya diri.
Neo Art Dental Center selalu menggunakan teknologi terbaru dalam setiap perawatan, memastikan pasien mendapatkan pengalaman dental yang paling modern dan efisien.

Pemeriksaan Lengkap
Pemeriksaan lengkap di Neo Art Dental Center lebih dari sekadar pemeriksaan rutin, tetapi juga pemeriksaan yang mendalam sesuai dengan kondisi gigi Anda. Didukung dengan peralatan yang modern dan tim kami yang berpengalaman, tim Neo bisa mendiagnosa kesehatan gigi Anda dengan lebih tepat.

Behel dan Invisalign
Gigi yang rapih sudah terbukti secara ilmiah meningkatkan kesehatan gusi dan mulut secara keseluruhan. Tim Neo bisa membantu Anda mencapai senyuman rapih dan ideal. Perawatan gigi kami, mulai dari kawat gigi konvensional, Damon, hingga Invisalign.

Implan Gigi
Implan gigi adalah pilihan paling modern dan tepat untuk menggantikan gigi yang hilang, karena bentuknya yang alami dan natural menyerupai gigi asli. Tim Neo siap membantu Anda untuk perawatan gigi ini

Cosmetic Whitening
Perawatan untuk memutihkan gigi adalah bleaching dan veneer. Prosedur whitening ini dapat membantu mencerahkan dan menyegarkan senyuman Anda dengan menghilangkan noda membandel, membuat senyuman Anda semakin cerah.
Testimonials
Setiap Kunjungan Anda Spesial Dengan Dokter Gigi Terbaik, Service Yang Nyaman, Dan Teknologi Terkini Di Klinik Gigi Neo Art Dental Center
"Tempatnya bagus, perawatan & service dari dokternya top bangettt. Exceed expectation pokoknya "
Tim Kami
Temui Dokter Kami
drg. Ivy Vania Ariany, MM
General Practicioner
drg. Mochamad Zain Anggriadi, Sp.BM.
oral surgeon
drg. Gunawan, Sp.BM
Oral Surgeon
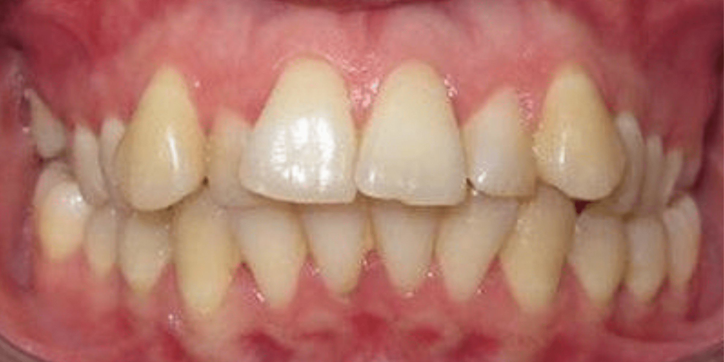
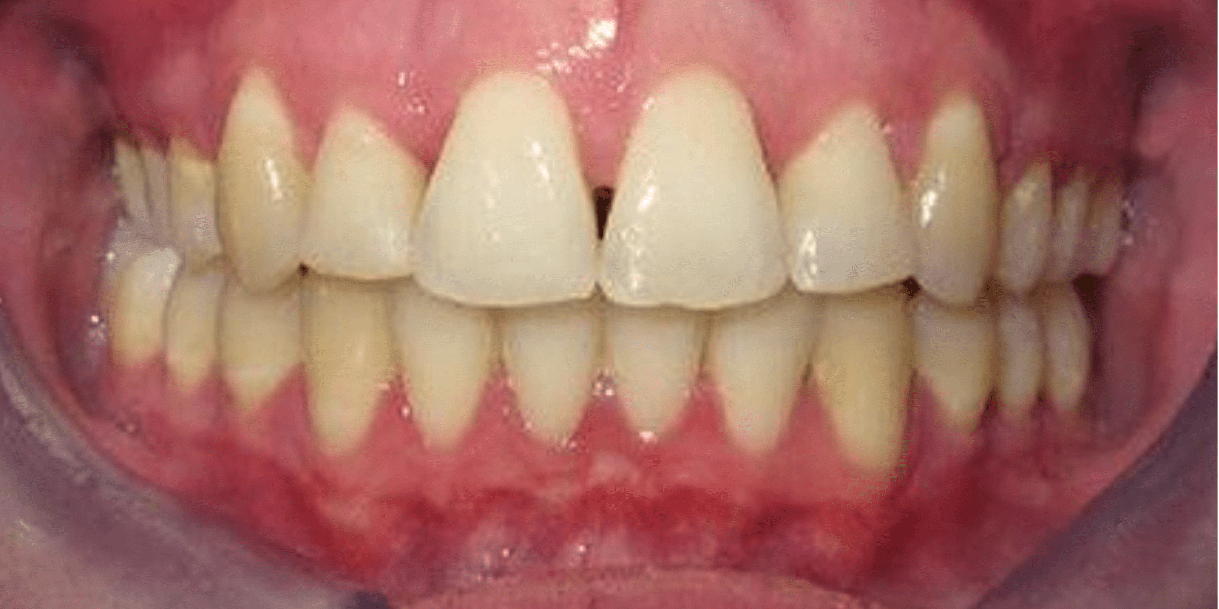
Sebelum & Sesudah Perawatan
Jadikan senyummu bersinar kembali


