
Cerita Perawatan Gigi dengan Invisalign di Klinik Gigi Neo Art Dental
Mencari senyum yang rapi dan percaya diri bukan selalu perjalanan yang mulus — dan Sidney adalah salah satu contoh nyata. Sebelumnya, Sidney sempat menggunakan clear aligner dari merek lain, namun hasilnya belum sesuai harapan. Posisi gigi masih belum ideal, dan rasa percaya diri belum sepenuhnya kembali. Namun, semuanya berubah setelah Sidney memutuskan untuk mencoba Invisalign di Neo Art Dental.
Perjalanan Invisalign Pasien di Klinik Gigi Neo Art Dental
Dengan proses konsultasi yang menyeluruh dan penanganan langsung oleh dokter gigi berpengalaman, Sidney memulai perjalanannya bersama Invisalign. Sebelumnya Sidney pernah menggunakan clear aligner merk lain tetapi kurang puas dengan hasilnya.
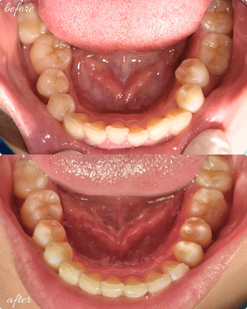
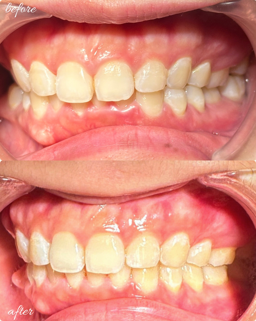
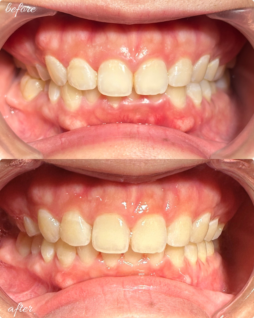
Setelah berkonsultasi dengan dokter gigi di Neo, Sidney memutuskan untuk menggunakan Invisalign di Neo Art Dental. Hanya dalam 4 bulan perawatan, perubahan signifikan terlihat! Gigi yang sebelumnya kurang teratur kini tampak jauh lebih rapi dan proporsional.
Sidney pun mengaku puas dan lebih percaya diri dengan hasilnya:
“Seneng banget! Hasilnya lebih natural dan sesuai ekspektasi. Selama perawatan juga nyaman banget, stafnya ramah dan kliniknya homey.”

Hasil Before & After Perawatan Invisalign di Klinik Gigi Neo Art Dental




Foto setelah Sidney melakukan perawatan Invisalign selama 4 bulan di klinik Gigi Neo Art Dental. Sekarang gigi Sidney sudah rapuh, semua giginya terlihat saat tersenyum, dan no more gigi berantakan!
Invisalign menjadi solusi ideal untuk kamu yang ingin merapikan gigi tanpa kawat behel dan tetap tampil percaya diri. Perawatan ini nyaman, hampir tidak terlihat, dan memberikan hasil maksimal jika ditangani oleh tim ahli seperti di Neo Art Dental.
Ingin punya senyum seperti Sidney?
Yuk, jadwalkan konsultasimu hari ini dan mulai transformasi senyummu bersama kami!
📍 Neo Art Dental Center
Ruko Pasar Modern Timur 2 Blok AA/18 BSD, Tangerang
📞 0812-2300-0068
✉️ hello@neoartdental.com
🌐 www.neoartdental.com
Baca Juga
Perjalanan Invisalign Sidney dengan Neo Art Dental
Invisalign Smile Makeover di Klinik Gigi Neo Art Dental
Berbagai Jenis Behel yang Perlu Kamu Ketahui

