Cerita Pasien: Dari Gigi Berantakan Jadi Lebih Rapi dengan Behel di Neo Art Dental

Kawat Gigi

Punya gigi berantakan dan susah makan? Jangan biarkan itu terus mengganggu hidupmu.
Senyum yang sehat dan rapi adalah dambaan banyak orang — termasuk F, seorang pria berusia 20-an tahun yang datang ke Neo Art Dental dengan harapan bisa memperbaiki susunan giginya dengan behel gigi.

Sejak lama, F merasa tidak percaya diri karena giginya yang berantakan. Lebih dari itu, F juga sering mengalami kesulitan saat makan, terutama karena gigi geraham kiri atasnya sudah pernah dicabut sebelumnya.

Di Neo Art Dental, kami percaya bahwa setiap senyum punya solusi terbaiknya.
Menanggapi kondisi ini, dokter gigi Ivy Vania Ariany di Neo Art Dental memberikan solusi menyeluruh dan terencana. Proses perawatan dimulai dari pencabutan gigi geraham kiri atas yang sudah rusak. Setelah itu, dilakukan pemasangan behel konvensional metal untuk merapikan susunan gigi.

Celah bekas gigi yang hilang sering bikin pasien bingung. Tapi tenang, tim Neo punya caranya!
Yang menarik, dokter gigi Ivy di Neo juga menarik gigi geraham belakang ke depan guna menutup celah akibat pencabutan. Proses ini bertujuan agar tidak perlu dilakukan penanaman gigi tiruan atau implan, sehingga hasilnya lebih alami dan efisien.

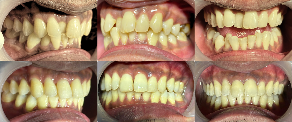
Hasil Before & After Perawatan Behel Kawat Gigi di Neo Art Dental

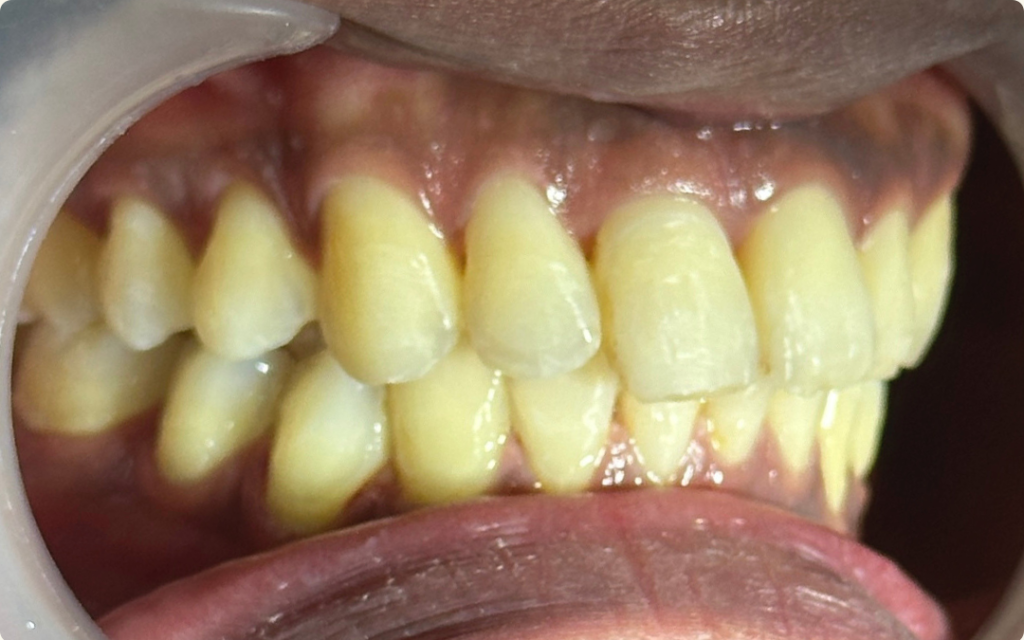
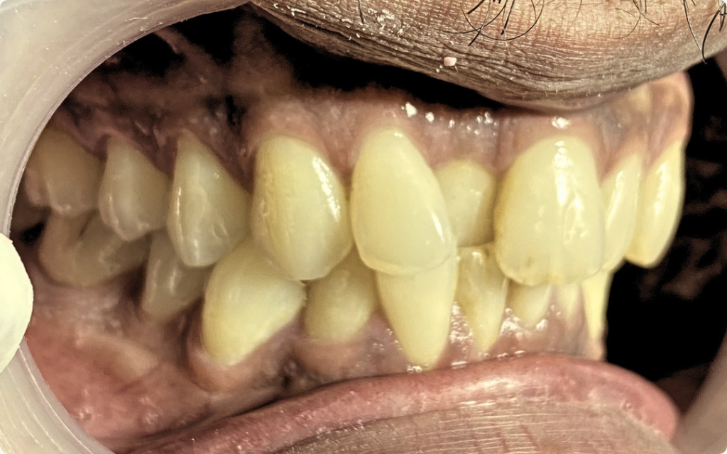
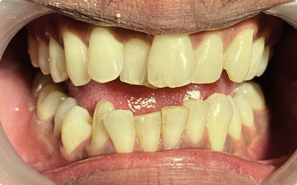
Foto diatas adalah foto kondisi pasien F sebelum dilakukan pemasangan behel. Pasien F ga percaya diri untuk tersenyum lebar, ditambah kondisi giginya yang berantakan yang bikin F sulit berbicara
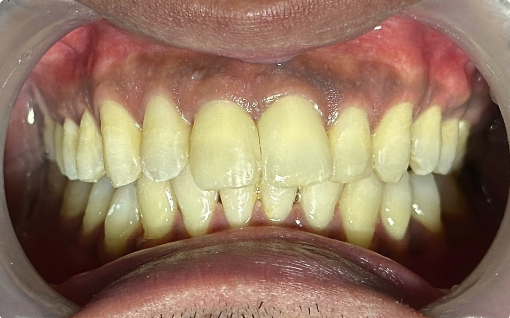
Ini adalah kondisi pasien F setelah melakukan pemasangan behel / kawat gigi Neo Art Dental. Gigi sudah rapih, no more makanan nyelip, dan bicara juga sudah oke.

2 tahun mungkin terdengar lama, tapi hasil senyumnya? Worth it banget!
Setelah menjalani perawatan ortodonti selama sekitar 2 tahun, kini F bisa tersenyum lebih lepas dan nyaman saat makan. Memang dalam 1 tahun terakhir pasien F jarang kontrol. Meskipun begitu, hasilnya tidak hanya rapi secara estetika, tapi juga lebih sehat secara fungsional. No more makanan nyelip, no more susah ngomong.

“Prosesnya memang butuh waktu, tapi nyaman banget perawatannya. Sekarang bisa makan enak dan senyum lebih pede!” – F

Hasil before & after perawatan ortodonti oleh dokter gigi di Neo Art Dental. Gimana menurut kalian?

Mau merapikan gigi tanpa ribet?
Tim profesional Neo Art Dental siap bantu kamu dari konsultasi hingga perawatan selesai, dengan pendekatan yang nyaman dan spesial buat kamu.

📍 Neo Art Dental Center
Ruko Pasar Modern Timur 2 Blok AA/18 BSD, Tangerang
📞 0812-2300-0068
✉️ hello@neoartdental.com
🌐 www.neoartdental.com

Baca Juga
Perjalanan Invisalign Sidney dengan Neo Art Dental
Berbagai Jenis Behel yang Perlu Kamu Ketahui
Manfaatkan Limit Asuransi dan PayLater untuk Perawatan Gigi
Klinik Gigi Nyaman dan Terdekat Bernuansa Jepang di Neo Art Dental Center

Post Tags:

Behel kawat gigi bsd, Dokter Gigi BSD, kawat gigi, klinik gigi BSD, Klinik Gigi Tangerang, pemasangan behel, veneer bsd

Tinggalkan Balasan

Alamat email Anda tidak akan dipublikasikan. Ruas yang wajib ditandai *